RajdhaniDaily.com | डडेल्धुरा । सुदूरपश्चिम दौडाहमा रहेका राष्ट्रिय स्वतन्त्र पार्टी (रास्वपा)का वरिष्ठ नेता एवम् भावी प्रधानमन्त्रीका रुपमा उम्मेदवार बनाइएका बालेन्द्र शाह -
गोरखा। जिल्लाको उत्तरी भेगमा भारी हिमपात भएको छ। आज बिहान ३ः०० बजेतिरबाट हिमपात हुन सुरु गरेको स्थानीयले बताएका छन्। चुमनुब्री गाउँपालिका–१ को साम्दो, सामागाउँ, वडा नं २ को ल्हो, स्याला, वडा नंं ६ को चुम्चेत, वडा नं ७ को नौवटै गाउँबस्तीमा हिमपात भएको स्थानीयवासीको भनाइ छ। “बिहान ३ः०० बजेदेखि हिउँ पर्न सुरु गरेको हो”, चुमनुब्री–७ […]
Google has added new Artificial Intelligence (AI) features to its highly popular service, Gmail. Nearly two years after introducing AI in its search engine, Google has now brought in 'Generative AI' tools to help manage user inboxes and speed up the email writing process. Some of these features are free, while others require a fee.Under the new features, users will no longer need to type keywords to search for old emails in their inbox. They can search by directly asking questions, such as, 'What is the name of the job recruiter I met last month?' Furthermore, Google is testing a new...
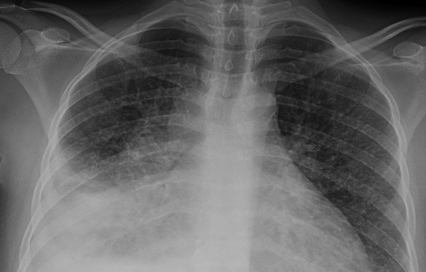
चितवन। चालु आर्थिक वर्षको हालसम्म चितवनमा ४८० जनामा क्षयरोगको सङ्क्रमण देखिएको छ। जनस्वास्थ्य कार्यालय चितवनका क्षयकुष्ठ अधिकृत जयराम दुवाडीका अनुसार साउनयता दुई हजार ६५६ जनाको परीक्षण गरिएकामा ४८० जनामा सङ्क्रमण पुष्टि भएको हो। तीमध्ये ८१ जनाले छ महिनाको औषधि पूरा गरेका छन् भने ३९९ जनाले अहिले नियमित औषधि सेवन गर्दै आएका छन्। उनले सङ्क्रमितहरूले जिल्लाका […]
RajdhaniDaily.com | धनकुटा । आगामी फागुन २१ गते हुन लागेको प्रतिनिधिसभा निर्वाचनमा धनकुटाका दुई जना उम्मेदवारले आफैलाई मत हाल्नबाट वञ्चित हुने भएका छन् । मतदाता नामावली रहेको -
Hindi serial actor Rohit Chaudhary is set to appear in a Nepali film. The actor has been signed for the movie 'Acharya,' which is being directed by actor Nikhil Upreti.According to Shankar Pandey, the film's production manager, Rohit has already started shooting for the film a few days ago. Pandey informed that he has been busy shooting for the Nepali film for the past week. It is stated that Rohit will play a significant role in the film 'Acharya.'Chaudhary, an established artist on Indian television and OTT platforms, has acted in many popular serials such as 'Kumkum Bhagya,' 'Draupadi,' 'Brahmrakshas,'...